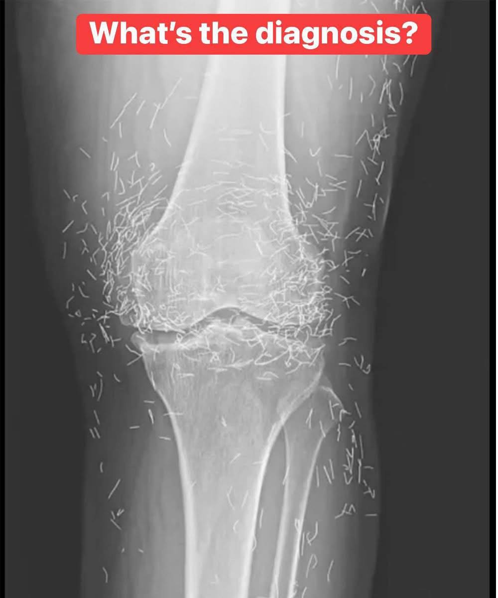
X-Ray Reveals Hundreds of Gold Needles in Woman’s Knees

A 65-year-old woman in South Korea discovered the surprising cause of her chronic knee pain: hundreds of tiny gold acupuncture needles embedded in her joints.

She had long battled osteoarthritis, a degenerative condition that wears down cartilage and bone, leading to stiffness and pain. When conventional treatments like anti-inflammatory drugs and painkillers upset her stomach, she turned to acupuncture for relief.

Her therapy involved a controversial method in which gold needles are inserted and left in the body, supposedly to provide ongoing stimulation. Some practitioners believe this can reduce pain for arthritis patients.

But according to the New England Journal of Medicine, the practice can be dangerous. Experts warn that leaving foreign objects inside the body often triggers inflammation, infection, or abscesses as the immune system tries to fight them off.

Dr. Ali Guermazi, a radiology professor at Boston University, explained that embedded needles can also complicate imaging tests. “The human body wants to expel foreign objects,” he said, noting that scar tissue can form around them, obscuring X-ray details.

He also cautioned that patients with embedded metal face added risks during procedures such as MRIs, since the needles could shift and damage blood vessels. Despite these dangers, the technique remains relatively common in some parts of Asia.

While acupuncture itself has gained popularity worldwide, the scientific evidence for permanent implants like gold needles is weak. Still, many patients seek it as an alternative when other options fail.

In the U.S., a 2007 NIH survey estimated more than 3 million adults and 150,000 children had tried acupuncture. Cases like this highlight the importance of approaching alternative therapies with caution and ensuring proper medical oversight.

Similar Posts